¿Cómo funciona la implantación en el momento en que faltan varios dientes?
Experimentar cualquier problema médico puede resultar muy incómodo. Si no aborda esto de inmediato, podría experimentar dificultades para consumir alimentos o una mayor sensibilidad a las temperaturas frías y calientes. Por lo tanto, recibir la atención adecuada de un dentista es muy esencial. Las tecnologías modernas y los tratamientos médicos pueden abordar cualquier problema o condición. Del mismo modo, numerosos implantes dentales en Houston son el último método para arreglar los dientes.
Muchas personas evitan este tratamiento por miedo a la cirugía y por la incertidumbre sobre qué esperar. No obstante, sigue siendo un procedimiento sencillo y fiable.
Este blog cubrirá varios implantes dentales para informarle sobre las opciones de tratamiento para los dientes perdidos.

El procedimiento de los implantes dentales.
La colocación de implantes dentales implica múltiples etapas, comenzando con una evaluación para valorar si el paciente es apto para el procedimiento. La siguiente acción es sustituir, eliminar o reparar las estructuras dentales dañadas. A continuación, el dentista utiliza radiografías digitales 3D e impresiones dentales para desarrollar un plan de tratamiento, que luego se envía a un laboratorio para producir las prótesis.
Luego, se instalan uno o más implantes dentales debajo de las encías. Durante los siguientes dos a seis meses se produce la osteointegración, uniendo el hueso maxilar a los implantes para ofrecer suficiente estabilidad al puente o parcial. Por último, el paciente regresa para la colocación del puente o de la prótesis parcial.
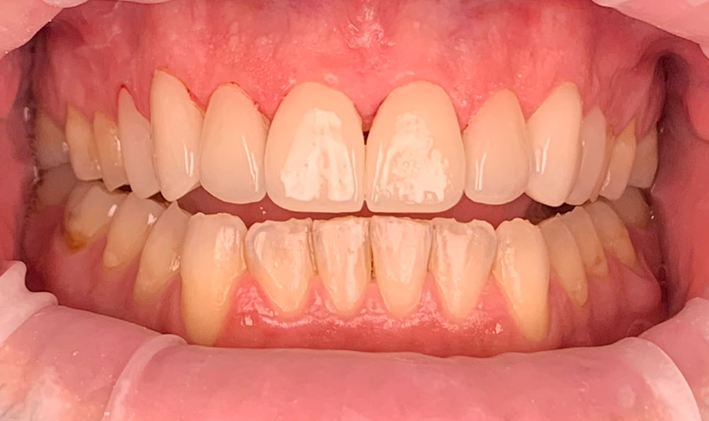
Advantages of taking dental implants after múltiples dientes perdidos
Habla mejorada: Colocar los dientes en posiciones correctas en clínicas cerca de mi aumenta la probabilidad de una articulación adecuada. A veces, los dientes desalineados pueden provocar un habla poco clara que requiere aclaración.

Aumentar la estabilidad: El especialista de implantes dentales proporciona una estabilidad más excelente que un solo implante de un solo diente. Esto establecerá las bases para reemplazar el implante de dientes asegurándose de que estén adecuadamente asegurados.
Calmante: El implante dental reconfortará al individuo, aliviará las molestias y anclará los dientes como si fueran reales. Esto eliminará el dolor y la inseguridad que comúnmente se sienten al usar dentaduras postizas removibles.
Resistencia persistente: Participar en este proceso garantizará la longevidad y eficacia de la inversión. Los implantes dentales son fuertes y tienen el potencial de durar muchos años, lo que proporciona una solución confiable y duradera para reemplazar los dientes.
Mejorar el proceso de masticación: Tener múltiples implantes favorecerá una masticación adecuada y mejorará el funcionamiento general de los dientes.
Se siente natural: Si le preocupa que parezca falso, tenga la seguridad de que combinará perfectamente con sus dientes naturales. Varios implantes imitan el aspecto y la alineación de los dientes naturales para crear una sonrisa realista.
¿Cuál es el costo de colocarse varios implantes dentales?
El precio de los implantes dentales varía según la ubicación y el centro dental. Si tiene problemas graves, el tratamiento podría requerir una duración prolongada debido a la complejidad de los problemas. La duración del tratamiento determina la cantidad de implantes dentales necesarios y si implica procedimientos adicionales como injertos y extracción de dientes.
En conclusión
Los implantes dentales están diseñados para durar toda la vida de una persona. Esto ocurre cuando los implantes se fusionan con la mandíbula y se integran para crear una conexión con el hueso cercano. Es importante recordar que es posible que los implantes dentales no siempre funcionen como se espera. Innumerables razones podrían ser la causa de esto. A veces, se puede sustituir un implante que funciona mal, mientras que en otros casos pueden ser una opción diferentes tratamientos. Si nota algún signo de fallo del implante, busque el consejo de un periodoncista o dentista.